| يستغرب البعض لماذا نهى النبي الكريم عن الجلوس على مائدة يشرب عليها الخمر، ولكن هل أثبتت الدراسات صدق هذا التشريع؟…. |
في سلسلة أبحاث علمية جديدة تبين أن رائحة الخمر لا تقلّ ضرراً عن الخمر نفسه بل قد تكون أسوأ! ولذلك نجد العلماء يحذرون من الجلوس على مائدة يُشرب عليها الخمر لأن الرائحة المنبعثة والتي يستنشقها الإنسان تؤدي إلى أضرار جسيمة أهمها:
تؤثر المادة المتبخرة من كأس الخمر على الجملة العصبية للإنسان وتحدث اضطرابات في نظام عمل الدماغ.
يؤثر هذا البخار على معدل دقات القلب وضغط الدم ويؤدي إلى صداع واكتئاب وقد يدخل في غيبوبة، وذلك حسب الكمية المستنشقة.
إن شرب الخمر “السلبي” له آثار مدمرة، فالأضرار الناتجة عن تعاطي الخمور لا تمسّ الشارب فقط، بل الجالس معه أيضاً يناله نصيب من الضرر.
وقد كان الاعتقاد في الماضي أن الجلوس على موائد الخمور أمر طبيعي ولا ضرر منه، ولكن الدراسات العلمية أثبتت هذه الأضرار تماماً مثل التدخين السلبي الذي يؤثر على غير المدخنين والجالسين مع المدخنين.

وفي الدول الغربية قد يظن بعض المسلمين أن الجلوس على هذه الموائد أمر عادي مادام المسلم لا يشاركهم في الشرب، ولكن نستطيع أن نجزم اليوم بأن مجرد الجلوس لمدة نصف ساعة مثلاً كفيل بإحداث أضرار في الجملة العصبية وللدماغ والقلب، والخطر الأكبر إذا طالت مدة الجلوس وتكررت.
الدراسة التي قام بها باحثون في بريطانيا عام 2016 في جامعة إدج هيل أثبتوا أن مجرد شم رائحة الكحول تجعلك ثملاً وتطور رغبة لدى الإنسان لشرب الخمر… ونصحت الدراسة بالابتعاد عن أماكن شرب الخمر للحفاظ على سلامة القلب والدماغ..

والآن يا أحبتي تأملوا معي قول النبي الرحيم صلى الله عليه وسلم والذي خاطب كل مؤمن صادق بقوله: (من كان يؤمن بالله واليوم الآخر فلا يقعد على مائدة يُشرب عليها الخمر) “رواه أحمد والدارمي عن جابر رضي الله عنه”.
فمن أين جاء النبي الكريم بهذه المعلومات وأدرك الأضرار قبل 1400 سنة، ونهى عن الجلوس على ومثل هذه الموائد؟ إن الله تعالى هو الذي علمه ذلك، وأرسله ليكون رحمة للعالمين، فلا يرضى الضرر لأمته، والسؤال: أليس ديننا رائعاً يا إخوتي؟ أليس النبي صلى الله عليه وسلم يستحق منا كل التقدير والاحترام والمحبة؟ لنتأمل معاً هذه الدراسات العلمية الجديدة:
تناول الكحول يترك أثرا طويل الأمد على الدماغ
كشفت دراسة علمية حديثة النقاب عن أن المشروبات الروحية تضعف أداء المخ أكثر مما كان يعتقد من قبل. وفي الحقيقة وحتى مع اعتقاد البعض أن تأثير الكحول على الدماغ قد انخفض إلا أنه لا يزال له تأثير سلبي على وظائف معينة في المخ.
وقام العلماء بفحص تأثير الكحول على بعض الوظائف المعقدة التي يضطلع بها المخ مثل التفكير المجرد والتخطيط والقدرة على مراقبة ردود الأفعال استجابة لتأثير خارجي. ووجد الباحثون أن الأداء في هذه المناطق تأثر حتى بعد انخفاض نسبة تركيز الكحول في الدم إلى درجة لا يشعر بوجودها الشخص المعني. وقد بدا التأثير على وظائف المخ المعقدة أكثر وضوحا عندما بدأ تركيز الكحول في الدم في الانخفاض.
وقام الباحثون بمقارنة أداء عدد من المتطوعين الذين تناولوا مزيجا من الكحول وعصير البرتقال بمجموعة أخرى تعاطت مشروبات غير كحولية. وأوضح البروفيسور روبرت بيل من جامعة ماجيل في مونتريال بكندا والذي قاد فريق البحث أن نتائج الدراسة تحمل معاني خطيرة بالنسبة لعدد من الأنشطة مثل قيادة السيارات، حيث قال: “الأشخاص الذين يعتقدون أنهم قد انتظروا في أماكنهم بعد تعاطي الكحول لمدة ساعتين قبل قيادة السيارة عند الرجوع إلى منازلهم قد يحتاجون في الحقيقة إلى أن ينتظروا مدة ست ساعات وإلا قد يحدث ما لا تحمد عقباه نظرا لتأثير الكحول المتأخر الذي يجعل الشخص أكثر تعرضاً للحوادث.”
وأضاف: “فمتعاطي الكحول في مرحلة استعادة وعيه من المحتمل أن يكون أكثر خطرا عند قيادته لمركبته من ذلك الشخص الذي لا يزال يتعاطي.”
أكثر من مليون حادث في بريطانيا بسبب الكحول
أطلقت الحكومة البريطانية الاثنين، حملة للحد من الآثار المالية والاجتماعية السلبية لتناول الكحول لدى نسبة كبيرة من البريطانيين، خاصة بعد أن تبين انه كان السبب الرئيسي للكثير من الجرائم والاعتداءات بجميع أنحاء البلاد.

أكدت إحصائيات نشرت مؤخرا أن تناول الكحول هو السبب المباشر لأكثر من ما يعادل 1.2 مليون حادث وعملية عنف جرت في عام 2009 في بريطانيا، كما تظهر الإحصائية أن 30 ألف شخص دخلوا المستشفيات خلال سنة واحدة في إنجلترا بعد إصابتهم بأعمال عنف نتيجة التناول المفرط للكحول.
وتوضح الإحصائية أرقاماً مذهلة فيما يتعلق بالموت المبكر، إذ أثبتت أن 22 ألف شخص ماتوا مبكراً بسبب الإفراط في تناول الخمور بكل أنواعها، وأن 17 مليون يوم عمل ضاعت بسبب الكحول أيضا، وتؤكد الإحصائية الرسمية أن الإفراط في تناول المشروبات الكحولية يسبب خسائر تصل إلى نحو 20 مليار جنيه إسترليني سنوياً في دولة مثل بريطانيا.
دراسة تربط بين شرب الكحول وفقدان الذاكرة
ثمة معلومات علمية تؤكد العلاقة الوثيقة بين تعاطي الكحول وفقدان الذاكرة، الذي أصبح من أمراض العصر. فقد أكدت دراسة حديثة قام بها فريق من العلماء في جامعة “كوبيو” الفنلندية أن الإقبال المتزايد على تعاطي المشروبات الروحية في منتصف العمر يتسبب في حالة إضعاف قدرة الشخص على تذكر الأحداث بشكل ملحوظ، مقارنة بأولئك من غير المتعاطين للكحوليات.
كما بينت الدراسة أن الفحوصات العملية التي أجريت على غير المتعاطين للكحوليات، أكدت أن لديهم قدرة على التذكر أكثر بأربع مرات من المتعاطين، وكان بنك اسكتلندا أجرى مؤخرا دراسة بين طلاب الجامعات في بريطانيا، بيّنت أن مجموع ما ينفقونه على الكحول يصل قرابة المليار جنيه إسترليني سنوياً.
القليل من الخمر يعني سرطان الكبد والأمعاء
تقول صحيفة ديلي تلغراف إن كثيرا من الناس لا يزال يجهل حقيقة كون تناول الكحول يزيد من مخاطر التعرض للسرطان رغم الأدلة القوية على ذلك, فالخمر تزيد احتمال التعرض لسرطان الأمعاء بنسبة 18% وسرطان الكبد بنسبة 20%، فالكحول يدمر الحمض النووي للإنسان, مما يجعله عرضة لخطر الإصابة بالسرطان.
ويقول المسؤول بالصندوق العالمي للسرطان الدكتور راشل تومسون “إذا كان الشخص يتناول يوميا نصف لتر من النبيذ أو كأساً كبيرة من الخمر فإن العلم أظهر أنه يزيد نسبة تعرضه لسرطان الأمعاء بنسبة 18% وسرطان الكبد بنسبة 20%”.
وتؤكد صحيفة ديلي تلغراف أن سرطان الأمعاء هو ثالث أكثر السرطانات انتشاراً في البلاد حيث يتم تشخيص 36500 حالة منه سنوياً يموت من أصحابها 16 ألفا, بينما يتم تشخيص سرطان الكبد لدى 3000 بريطاني سنوياً ويموت بسببه عدد مماثل.
إن هناك أدلة مقنعة على أن تناول الكحول يزيد من مخاطر التعرض لسرطان الثدي وسرطانات الفم والبلعوم والحنجرة والمرئ. ونتيجة لذلك, نقلت الصحيفة عن هذه الهيئة نصيحتها ب:
تجنب الكحول نهائيا!!
وفي إطار متصل, ذكرت الصحيفة أن هذا التحذير يدحض بعض الدراسات الأخرى التي تقول إن تناول الخمر دون إسراف قد يساعد في مكافحة مرض القلب, كما نبهت إلى أنه يأتي بعد نشر جهاز الإحصاء البريطاني بيانات في بداية هذا العام تظهر أن 10 ملايين بريطانيي يتناولون الكحول بمستويات “خطيرة…
قبل أن نكمل استعراض هذه الدراسات أود أن أذكركم بقوله تعالى: (يَا أَيُّهَا الَّذِينَ آَمَنُوا إِنَّمَا الْخَمْرُ وَالْمَيْسِرُ وَالْأَنْصَابُ وَالْأَزْلَامُ رِجْسٌ مِنْ عَمَلِ الشَّيْطَانِ فَاجْتَنِبُوهُ لَعَلَّكُمْ تُفْلِحُونَ) [المائدة: 90]. أليس هذا بالضبط ما ينادي به العلماء اليوم!!
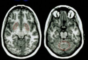
شرب الخمر يقلص حجم الدماغ
كشفت دراسة أميركية حديثة نشرت نتائجها في دورية أرشيف الجهاز العصبي أن شرب الإنسان الخمور بكميات كبيرة من شأنه أن يؤدي إلى تقلص حجم المخ لديه.

بينت نتائج الدراسة التي قام بها باحثون في جامعة ويلزلي بولاية مساتشوستس الأميركية على بيانات 1839 أميركيا بالغا تتراوح أعمارهم بين 33 و 88 عاما أبلغوا عن طبيعة استهلاكهم للكحوليات وأجريت لهم مسوح تصويرية بالرنين المغناطيسي لاظهار حجم المخ أن الأشخاص الذين يمتنعون عن شرب الكحوليات طوال حياتهم يعانون في الواقع أقل خسارة في حجم المخ بينما يعاني المقلعون عن الشرب والمستمرون في الشرب باعتدال والمعاقرون للخمر بشراهة مزيدا من التقلص في حجم المخ.
وأوضحت الدراسة أن هذه النتائج جاءت أكثر وضوحا لدى النساء من الرجال لسبب قد يرجع إلى حساسية النساء الأكبر لتأثير الكحول وحجمهم الأصغر في المتوسط عن الرجال.
وأشارت الدراسة إلى أنه بالمقارنة مع الممتنعين عن الشرب فان الأكثر شربا للكحوليات والذين تم تعريفهم بأنهم يحتسون أكثر من 14 كأساً في الأسبوع لديهم مخ يقل في المتوسط بنسبة واحد في المئة وأن حجم المخ يتقلص بشكل عام بمعدل يقدر بحوالي اثنين في المئة كل عقد.
تأثيرات خطيرة للخمر
ويقول البروفسور أندرس إريكسن الأخصائي في الطب الشرعي بجامعة أوميا السويدية إن الخمر يلقي بغشاوة على العقل، كما أن الرغبة في تدمير الذات أو معاملة الآخرين بعدوانية، تكون أكثر حدة تحت تأثير الكحول! لقد أظهرت الدراسة أن مشاكل الكحول لا ترتبط بقيادة السيارة في حالة سكر أو حوادث السير فحسب، بل هي ضالعة أيضاً في عدد مهم من الوفيات غير الطبيعية، وهذا يعني أن المرء يواجه مخاطر من كل الجوانب تقريباً حين يكون تحت تأثير الكحول.
ولكن أليس هذا ما أشار إليه القرآن قبل أربعة عشر قرناً في قوله تعالى عن التأثير السيء للخمر: (إِنَّمَا يُرِيدُ الشَّيْطَانُ أَنْ يُوقِعَ بَيْنَكُمُ الْعَدَاوَةَ وَالْبَغْضَاءَ فِي الْخَمْرِ وَالْمَيْسِرِ وَيَصُدَّكُمْ عَنْ ذِكْرِ اللَّهِ وَعَنِ الصَّلَاةِ فَهَلْ أَنْتُمْ مُنْتَهُونَ) [المائدة: 91].
والآن يا أحبتي!
هل علمتم لماذا حرم الله علينا هذه المادة الخبيثة؟ وهل علمتم لماذا حرم النبي صلى الله عليه وسلم مجرد الجلوس على مائدة يُشرب عليها الخمر؟ إن العلماء بعد محاولات ودراسات كثيرة لتبرير شرب الخمر وبعضهم جاء بدراسات وهمية وممولة من شريكات تصنيع الخمور لإقناع الناس بفوائد الخمر للقلب، إلا أن الواقع جاء مخالفاً لهذه الدراسات.
فلا يختلف اثنان على أن الخمر يُذهب العقل ويدمر خلايا الدماغ ويضعف الذاكرة ويقود إلى العنف والجريمة والحوادث، ويسبب أمراضاً خطيرة مثل السرطان… ولو سألنا أي طبيب أيهما تفضل وتنصح لقال: بتجنب الخمر، وهو ما تؤكده الجمعيات الطبية…
ونقول لكل ملحد: ما هو الغريب الذي جاء به القرآن حتى ترفض تعاليمه العظيمة؟ لقد أمرنا الله بتجنب الخمر نهائياً وهذا ما يصرح به كبار العلماء من غير المسلمين، فما هي مشكلتك مع القرآن، ولماذا ترفض تعاليم هذا النبي الكريم؟
إنني لا أجد سبباً إلا الكبر والعناد والتخبط، ولذلك نصيحتي لكل من يشك بهذا القرآن أن يعود إلى طريق الله تعالى، ويوفر على نفسه العناء والتعب وأن ينعم بسعادة وطمأنينة القرب من الله تبارك وتعالى، فهو القائل: (قُلْ يَا عِبَادِيَ الَّذِينَ أَسْرَفُوا عَلَى أَنْفُسِهِمْ لَا تَقْنَطُوا مِنْ رَحْمَةِ اللَّهِ إِنَّ اللَّهَ يَغْفِرُ الذُّنُوبَ جَمِيعًا إِنَّهُ هُوَ الْغَفُورُ الرَّحِيمُ) [الزمر: 53].
ـــــــــــــ
بقلم عبد الدائم الكحيل
المراجع:
https://www.foodandwine.com/fwx/drink/smell-alcohol-may-increase-risk-losing-control-study-says
toxnet.nlm.nih.gov
www.inhalants.org
CNN.com
news.bbc.co.uk
www.dw-world.de




